
ORTODONTIA
Trabalhamos com todos os tipos de aparelhos ortodônticos
Aparelhos Ortodônticos Convenionais em Aço


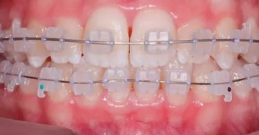
Aparelhos Ortodônticos Cerâmicos


Aparelhos Ortodônticos Safira




Aparelhos Ortodônticos Autoligados

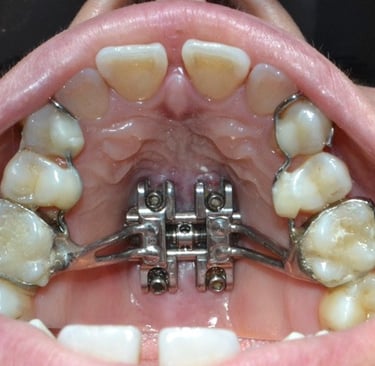
APARELHOS ORTOPÉDICOS
Trabalhamos com todos os tipos de aparelhos ORTOPÉDICOS para todos os tipos de casos








